IGIENE ORALE E SBIANCAMENTO

Igiene orale domiciliare
Come suggerisce il termine, l’igiene orale consta di tutte quelle manovre che andrebbero eseguite a livello domiciliare al fine di garantire un livello di igiene compatibile con il benessere e la salute del cavo orale. Una buona igiene orale è garantita da un corretto spazzolamento in senso gengivo-dentale (da rosa a bianco) delle superfici dentali esterne ed interne, nonché della superficie occlusale. Passaggio successivo è l'utilizzo del filo interdentale in modo da detergere gli spazi tra un dente e l'altro.
ODONTOIATRIA PEDIATRICA

L’odontoiatria pediatrica si occupa della salute della bocca dei bambini dalla nascita sino all’adolescenza. Il dentista pediatrico, detto anche pedodontista, è un odontoiatra avente una preparazione professionale specifica, clinica e psicologica, che gli permette di trattare bambini anche piccolissimi grazie ad un approccio che mira ad instaurare un rapporto di fiducia e collaborazione. L'ottenimento della fiducia del bambino e la sua serenità sono il primo obiettivo che l'odontoiatra si deve porre, indispensabile per la corretta applicazione dei protocolli terapeutici e di prevenzione, e per il futuro rapporto del bambino con l'odontoiatra anche quando sarà adulto.
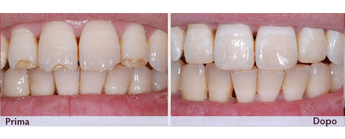
ODONTOIATRIA CONSERVATIVA

L’odontoiatria conservativa è una branca dell’odontoiatria restaurativa specializzata nella cura dei denti cariati, nelle procedure per l’eliminazione della carie e in quelle relative alla chiusura delle cavità risultanti dal deterioramento dello smalto e della dentina cariata attraverso l’utilizzo di appositi materiali, strumenti e metodologie.
Igiene orale domiciliare
ENDODONZIA

L'endodonzia è quella branca dell'odontoiatria che si occupa della terapia dell'endodonto, ovvero lo spazio all'interno dell'elemento dentario, che contiene la polpa dentaria costituita da componente cellulare, vasi e e nervi. In generale, essa mira a conservare i denti che hanno ricevuto un danno grave alla loro struttura che ha portato all'infezione e alla necrosi della polpa, con ripercussioni acute o croniche dei tessuti circostanti più o meno dolorose.
PROTESI MOBILE

La protesi mobile è un manufatto rimovibile utilizzato per sostituire una parte o l'intera arcata dentaria persacon elementi dentari artificiali. La forma delle gengive e del palato su cui poggia la protesi mobile viene rilevata attraverso la presa delle impronte. Tutte le protesi mobili vanno pulite ogni volta che viene mangiato del cibo.
PROTESI FISSA

La protesi dentale fissa ha il compito di riabilitare le funzioni orali dei pazienti affetti da edentulia (mancanza di denti) parziale o totale, mediante la sostituzione dei denti naturali con elementi dentari artificiali definitivi e stabili. La protesi fissa viene fissata agli elementi pilastro con la cementazione e non può essere rimossa dal paziente.
In base alle funzioni si distinguono tre tipi di protesi fissa:
protesi fissa di ricostruzione: ha il compito di ricostruire le parti anatomiche del dente asportato e preservarlo, quindi, dalla completa distruzione (es. corone, intarsi, perno moncone);
protesi fissa di sostituzione: sostituisce completamente con elementi particolari i denti naturali (es. elementi intermedi di protesi a ponte);
CHIRURGIA PRE- PROTESICA

Con il termine “chirurgia pre-protesica” vengono intese tutta una serie di procedure chirurgiche che facilitano e permettono l’applicazione di una protesi fissa o mobile, garantendo una buona estetica e funzionalità della stessa.
Nello studio dentistico Giardinelli si eseguono 3 tipi di chirurgie pre-protesiche:
CHIRURGIA ODONTOSTOMATOLOGICA (o CHIRURGIA ORALE)

La chirurgia odontostomatologica, nota anche con il nome di chirurgia orale, è una disciplina medica che si occupa di problematiche odontoiatriche per le quali è necessario un approccio chirurgico.
Tali problematiche possono includere:
IMPLANTOLOGIA

Da alcuni anni si è sempre più perfezionata quella specializzazione dell’odontoiatria, chiamata implantologia, che permette di sostituire denti estratti o mai cresciuti (agenesia) con gli impianti. Per implantologia (dentale), infatti, si intende quell'insieme di tecniche chirurgiche atte a riabilitare funzionalmente un paziente affetto da edentulismo totale o parziale mediante l'utilizzo di impianti dentali.
Cosa sono gli impianti?
PARADONTOLOGIA

La parodontologia è la branca dell’odontoiatria che si occupa della prevenzione, della diagnosi e della terapia delle patologie che colpiscono il parodonto, l’insieme dei tessuti duri e molli di supporto di denti e impianti, come la gengiva, il legamento parodontale, il cemento radicolare, l’osso alveolare e la mucosa perimplantare.
Queste patologie infiammatorie e degenerative, comunemente denominate piorrea o parodontite, se lasciate incurate, portano alla successiva distruzione dei tessuti circostanti i denti e infine alla perdita di quest’ultimi.
LASER E LASERTERAPIA

IL LASER A DIODI (EPIC X) VIENE APPLICATO NELLE SEGUENTI DISCIPLINE:
Endodonzia: l’effetto battericida del laser è efficace in profondità nel canale radicolare e nei tuboli dentinali, favorendo la guarigione anche di lesioni periapicali in tempi assai brevi. L’energia del laser applicata ai trattamenti canalari presenta numerosi vantaggi, tra i quali la completa riduzione di microrganismi e l’eliminazione del fango dentinale;
Parodontologia: efficace nell’eliminazione dei batteri, il laser riduce la formazione di tasche e risanando
SERVIZIO A DOMICILIO

Ci sono interventi che possono essere effettuati a domicilio del paziente attraverso l'utilizzo del riunito odontoiatrico portatile. Si tratta di quegli interventi che non necessitano di radiografie, come radici da estrarre che dolgono, limare punte o spigoli di denti o protesi che traumatizzano i tessuti o la lingua. È possibile, inoltre, effettuare lavori di protesi rimovibili (dentiere), otturazioni, ma anche sedute di igiene orale (pulizia)
ORTODONZIA E TRATTAMENTO PATOLOGIE ATM

Con il termine Disturbi dell’articolazione temporo-mandibolare (ATM) si comprendono una varietà di situazioni cliniche che coinvolgono i muscoli della masticazione, l’articolazione temporomandibolare (ATM) e componenti tissutali limitrofe.
L’articolazione temporo-mandibolare (ATM) è il giunto a cerniera che collega la mascella inferiore (mandibola) all’osso temporale del cranio, che è davanti all’orecchio su ciascun lato della testa. Le articolazioni permettono alla mandibola di muoversi agevolmente su e giù e lateralmente permettendo di parlare, masticare, e sbadigliare.
ORTODONZIA TRADIZIONALE

L’ortodonzia è quella branca dell’odontoiatria che si occupa di allineare correttamente i denti. Un bel sorriso è un perfetto biglietto da visita ma non ha solo una funzione estetica. Una dentatura sana e ordinaria facilita la corretta masticazione e aiuta nel mantenimento dell'igiene orale. Nel caso madre natura non sia stata particolarmente benevola, l'ortodonzia può intervenire a rimettere ordine in dentature disarmoniche.
Fino a pochi anni fa si riteneva che questi interventi dovessero realizzarsi tra la preadolescenza e l’adolescenza. Interventi, dunque, che potevano agire con successo solo su una dentatura definitiva e su ossa mascellari ancora in crescita. In realtà, secondo le nuove scuole di pensiero, è possibile aggiustare anche le bocche degli adulti, e quindi il bacino di utenza dell’ortodonzia si è notevolmente ingrandito.
ORTODONZIA INVISIBILE

Una dentatura perfetta ha importanti implicazioni in molti aspetti della nostra vita, infatti, oltre all’aspetto estetico denti dritti e ben allineati sono importanti per la corretta fonazione, masticazione e deglutizione. I pazienti con malocclusioni possono riportare sintomi molto diversi: mal di testa frequenti, click della mandibola, mal di schiena ma anche una maggiore frequenza di carie o parodontiti. Quando i denti non sono allineati correttamente bisogna ricorrere ad un apparecchio ortodontico che, grazie alle forze di trazione che genera, riesce a raddrizzare i denti. I classici apparecchi hanno però attacchi in metallo molto evidenti, provocano spess